2019
News: Postgraduate Medical Education Accreditation site visit
December 23, 2019

In November 2019, 53 of the Schulich School of Medicine & Dentistry’s 55 medical residency and area of focused competence programs participated in an accreditation site visit. Volunteer faculty from medical schools in Canada representing the Royal College of Physicians and Surgeons of Canada and the College of Family Physicians of Canada spent one week at the School meeting with all the programs and medical leadership teams.
Announcement: Dr. Davy Cheng, extended appointment as Acting Dean of the Schulich School of Medicine & Dentistry
December 20, 2019

Dr. Davy Cheng has agreed to an extension of his appointment as the Acting Dean of the Schulich School of Medicine & Dentistry for an additional four-month period, concluding on April 30, 2020.
Feature: Team Broken Earth London Spine Team reflects on trip to Haiti
December 20, 2019

Marjorie Johnson and a team of nurses and doctors from London travelled to Haiti last fall as part of Team Broken Earth (TBE). She reflects on their trip as they prepare to travel again in January. “We realized that good things happen in small steps through persistent efforts by ordinary people.”
Awards: Three Faculty members receive Canadian Association for Medical Education Certificate of Merit Awards
December 19, 2019

Drs. Daniel Grushka and Sandra Northcott, and Teresa Van Deven, PhD, have been recognized by the Canadian Association for Medical Education with Certificate of Merit Awards.
Award: Cheryle Séguin, PhD, awarded two Arthritis Society grants
December 19, 2019

Cheryle Séguin, PhD, is the recipient of two grants from the Arthritis Society, a Strategic Operating Grant and a Stars Careers Development Award – Mid Career. The grants support her promising new research into back pain and arthritis. Her research will study the biology of disc degeneration and common spine disorders and test new treatments.
Honour: Bekim Sadikovic recognized among National Human Genome Research Institute's Top 10 of 2019
December 19, 2019

Research by Bekim Sadikovic, PhD, has been acknowledged by the National Human Genome Research Institute (NHGRI) as one of the 10 most significant advances in genomic medicine in 2019.
News: Schulich Medicine & Dentistry to host the Canadian Federation of Medical Students 2020 Annual General Meeting
December 16, 2019

Schulich Medicine & Dentistry has been selected as the host site for the 2020 Annual General Meeting (AGM) of the Canadian Federation of Medical Students (CFMS), taking place September 18 to 20, 2020.
Honours: Researchers celebrated on Arthritis Society’s Top 10 Research Advances of 2019 list
December 16, 2019

Two researchers at Schulich Medicine & Dentistry were among those named to the Arthritis Society’s Top 10 Research Advances of 2019 list. Frank Beier, PhD, along with PhD trainee Ian Villamagna, were acknowledged for their work in developing a new delivery method for an anti-inflammatory drug. Matthew Teeter, PhD, was honoured for his research into wearable technology being used as a pre- and post-operative assessment tool for knee replacement surgery.
Media Release: Partnership with Siemens Healthineers will create a centre of excellence in advanced diagnostic imaging and therapeutics
December 10, 2019

Continuing to build on the established excellence in medical imaging, London’s academic teaching hospitals, London Health Sciences Centre (LHSC), and St. Joseph’s Health Care London, and Western University’s Schulich School of Medicine & Dentistry announced today a partnership with Siemens Healthineers in magnetic resonance imaging (MRI), interventional angiography, cardiology and cardiac surgery that will create a centre of excellence in advanced diagnostic imaging and therapeutics in southwestern Ontario.
Award: PEPP Physician Team wins President’s Award for Physician Leadership
December 06, 2019

A team of Schulich Medicine & Dentistry faculty were honoured for their work with the Prevention and Early Intervention Program for Psychoses. They received the 2019 London Health Sciences Centre President’s Award for Physician Leadership.
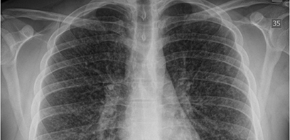
Media Release: Lung images of twins with asthma add to understanding of the disease
December 04, 2019

In a case study published today, researchers used a specialized MRI technique in a set of twins with asthma. While the twins are non-identical, the researchers found that they actually had identical ventilation defects in the same upper left lung segment, which stayed the same over the duration of the seven year study.
Announcement: Dr. Lois Champion has been appointed as Associate Dean, Postgraduate Medical Education
December 02, 2019

Dr. Lois Champion, has been appointed as Associate Dean, Postgraduate Medical Education, Schulich School of Medicine & Dentistry, Western University effective from January 1, 2020 – December 31, 2024.
News: Office of Military Academic Medicine opens
December 02, 2019

With the aim of becoming a world leader in military medicine, the Schulich School of Medicine & Dentistry at Western University announced the establishment of the Office of Military Academic Medicine.
News: Postgraduate Accreditation site visit concludes
December 01, 2019

Dr. Chris Watling shares a message of gratitude for the commitment and dedication of program directors, program administrators, and teaching faculty, both for their efforts in preparing for this accreditation visit, and for their year-round support for residency training.
World AIDS Day: Fighting HIV from all fronts
November 27, 2019

Jessica Prodger, PhD, is on the forefront of HIV research. On World AIDS Day, we recognize the work of researchers at Schulich Medicine & Dentistry in preventing and treating HIV, and their enduring search for a cure.
Award: Parisa Shooshtari receives Ontario Institute for Cancer Research Investigator Award
November 26, 2019

Parisa Shooshtari, PhD, was the recipient of the Ontario Institute for Cancer Research Investigator I Award. The Investigator Awards support world-class cancer researchers across the province.
Research News: New promise in fighting staph infections
November 25, 2019

A team of researchers from Schulich Medicine & Dentistry and McMaster University have demonstrated a potent antimicrobial can work against the toughest infectious disease strains. The find could be the beginning of developing new therapeutics to combat drug-resistant infections.
Awards: Recognizing student excellence at the Dentistry Fall Awards Reception
November 25, 2019

More than 20 awards were presented to students at the annual Schulich Dentistry Fall Awards Reception this month. Congratulations to the recipients.
News: Case report describes new type of vaping lung injury
November 21, 2019

A team of authors including Schulich Medicine & Dentistry faculty members have released details on Canada’s first published case of suspected vaping-related lung injury. Published today in CMAJ, the case study may be the first to describe a new type of injury from vaping products.
Honour: Dr. Robert Hegele named George Lyman Duff Memorial Lecturer
November 19, 2019

Dr. Robert Hegele was honoured by the American Heart Association for more than three decades studying human genetics. He was named the 2019 George Lyman Duff Memorial Lecturer.
Award: Dr. David Palma wins Canadian Cancer Society Award of Excellence
November 17, 2019

Dr. David Palma was honoured at the Canadian Cancer Society Awards of Excellence in Cancer Research. He is the co-recipient of the William Rawls Prize for his work in radiation oncology.
Announcement: Dr. Sonja Reichert has been appointed as the Dr. Brian W. Gilbert Canada Research Chair
November 11, 2019

Dr. Sonja Reichert, has been appointed as the endowed Dr. Brian W. Gilbert Canada Research Chair, effective July 1, 2019 to June 30, 2024.
Honour: Dr. Davy Cheng receives Honorary Diploma from Fanshawe College
November 06, 2019

Acting Dean Dr. Davy Cheng was the recipient of an Honorary Diploma at Fanshawe College’s fall graduation ceremony. The acknowledgement recognizes Dr. Cheng’s contributions to enhancing health care research, practice, policy and education.
Media Release: Community-driven project improves patient outcomes for diabetes in Indigenous communities
November 04, 2019

In total, nine Indigenous communities from coast to coast completed the FORGE AHEAD program, each with their own set of goals and interventions. At the program level, the researchers saw significant improvements in important clinical indicators for diabetes, including blood glucose control, blood pressure and LDL cholesterol for high risk patients.
Announcement: Acting Chief Administrative Officer appointment
November 01, 2019

Paul Paolatto, has agreed to serve as Acting Chief Administrative Officer for the Schulich School of Medicine & Dentistry, reporting to me, effective November 1, 2019.
Stipends available for Summer Research Training Program
October 31, 2019

The Summer Research Training Program (SRTP) enables medical students to pursue research interests by working under the supervision of a faculty member during the summer months. Proposals for clinical or basic science research projects are due to the School’s Research Office by December 9.
In Memoriam: Dr. Gerald Zanvil Wright
October 30, 2019

It is with sadness that we share news that Dr. Gerald (Gerry) Zanvil Wright – professor emeritus at Schulich Dentistry and a passionate local and international advocate of dental training in pediatric practice – has died.
Media Release: Using probiotics to protect honey bees against fatal disease
October 30, 2019

A group of researchers at Western and Lawson combined their expertise in probiotics and bee biology to supplement honey bee food with probiotics, in the form a BioPatty, in their experimental apiaries. The aim was to see what effect probiotics would have on honey bee health.
Award: Dr. Vivian McAlister wins lifetime achievement award in transplantation
October 29, 2019

Congratulations to Dr. Vivian McAlister, recipient of the 2019 Canadian Society of Transplantation Lifetime Achievement Award. He’s being honoured for outstanding contributions to developing transplantation activities in Canada.
In Memoriam: Dr. Paul Polak, MD’58, DSc’08
October 25, 2019

Dr. Paul Polak, MD’58, DSc’08, 2018 awardee of an Alumni of Distinction Award at Schulich Medicine & Dentistry, reinvented himself in his late 40s into what would now be called a social entrepreneur. His modest ambition: to eradicate rural poverty from Belize to Bangladesh. Dr. Polak, died of heart disease Oct. 10 in Denver at age 86. (Via the Wall Street Journal)
Award: Dr. Ruth Lanius touted for military health research
October 24, 2019

Dr. Ruth Lanius is the recipient of the 2019 Banting Award for Military Health Research from the Canadian Institute for Military and Veteran Health Research. Her research uses advanced imaging technology to study brain activity and neural connections in post-traumatic stress disorder.
Awards: Researchers honoured for innovation milestones
October 23, 2019

Several researchers from Schulich Medicine & Dentistry were acknowledged at the annual WORLDiscoveries Vanguard Awards. The awards highlight business achievements related to innovative discoveries, including securing patents or having technology licensed by industry partners.
Announcement: Dr. Sandra Northcott has been appointed as Associate Dean, Learner Equity & Wellness
October 22, 2019

Dr. Sandra Northcott, has been appointed as Associate Dean, Learner Equity & Wellness, Schulich School of Medicine & Dentistry, Western University effective from December 1, 2019 – November 30, 2024.
Honours: MD/PhD student Kara Ruicci named to Business London’s 20 in Their 20s List
October 21, 2019

Congratulations to MD/PhD student Kara Ruicci on being named to Business London’s Twenty in Their 20s List for 2019. The acknowledgement honours young people across the city who are leaders and changemakers in their respective industries.
Research: Involuntary admission for psychosis higher among some first-generation ethnic minority groups
October 15, 2019

A new study by Kelly Anderson, PhD, and her team demonstrates that involuntary admission due to first-time diagnosis of psychosis is higher among some first-generation ethnic minority groups, particularly African and Caribbean migrants.
Announcement: Dr. Amit Garg has been re-appointed as the Dr. Adam Linton Chair in Kidney Health Analytics
October 11, 2019

Dr. Amit Garg, has been re-appointed as the Dr. Adam Linton Chair in Kidney Health Analytics at the Schulich School of Medicine & Dentistry, Western University effective October 1, 2019 – September 30, 2024.
Award: Michael Iacocca, MSc'19, honoured with Governor General's Gold Medal
October 10, 2019

Congratulations to Michael Iacocca, MSc'19, who was awarded a Governor General's Gold Medal. The Gold Medals recognize outstanding scholarly achievement and are awarded to students who receive the highest academic standing at the graduate level.
Media Release: New study advances quest to better understand consciousness
October 10, 2019

In a new study published today by Nature Communications, Adrian Owen, PhD, and his colleagues at the University of Cambridge compared the brain states of patients who are in a vegetative state with those of healthy participants who were anaesthetized. The aim is to identifying a specific brain state that is associated with consciousness and conversely, a specific brain state that is indicative on unconsciousness.
News: Western to kickoff United Way campaign
October 08, 2019

Western will kick off its 2019 United Way campaign with a little chili and cornbread. Show Your Local Love Fest is scheduled for 11:30 a.m.-1:30 p.m. Thursday on Concrete Beach where for a $5 donation you can grab lunch and enjoy some music.
Honours: Drs. Heather MacKenzie and Javeed Sukhera named Top 20 Under 40
October 07, 2019

Congratulations to Dr. Heather MacKenzie and Dr. Javeed Sukhera for being named to London’s Top 20 Under 40 for 2019, as identified by London Inc. magazine. The honour is given to young leaders who are making a difference in the community.
Announcement: Dr. P. Andrea Lum has been appointed as Vice Dean, Faculty Affairs
October 07, 2019

Dr. P. Andrea Lum, has been appointed as Vice Dean, Faculty Affairs, Schulich School of Medicine & Dentistry, Western University for a five-year term effective January 1, 2020 to December 31, 2024.
Funding: Ontario Research Fund supports early researchers and infrastructure at Western
October 04, 2019

Today, the Ontario government announced $2.2 million in support of research at Western University. The funds support important health research projects at Schulich Medicine & Dentistry through the Early Researcher Awards and the Ontario Research Fund (ORF) Infrastructure Fund.
Media Release: Researchers unlock potential to use CRISPR to alter the microbiome
October 04, 2019

Researchers at Schulich Medicine & Dentistry have developed a new way to deliver the DNA-editing tool CRISPR-Cas9 into microorganisms in the lab, providing a way to efficiently launch a targeted attack on specific bacteria.
Announcement: Dr. Amardeep Thind has been re-appointed as Director, Schulich Interfaculty Program in Public Health
October 03, 2019

Dr. Amardeep Thind, has been re-appointed as Director, Schulich Interfaculty Program in Public Health, Schulich School of Medicine & Dentistry, Western University effective September 1, 2019 to August 31, 2024.
News: Western moves up in Maclean’s rankings
October 02, 2019

Western rose one spot from last year, landing at No. 7 in the 2020 Maclean’s University Rankings, released Oct. 3. In the Medical Doctoral category-by-category breakdown, Western ranked highest in scholarship and bursaries (No. 3), student satisfaction (No. 4) and student services (No. 6).
Funding: NIH Grant supports genome editing cancer immunotherapy research
October 01, 2019

A new NIH grant will allow John Ronald, PhD, and his team to develop tools to better monitor how CRISPR-modified cancer immunotherapies move through a patient's system. Ronald says their imaging technologies could provide the critical data needed to understand individual patient response by actually visualizing where these cells go within the body.
Alumni News: CARL revolutionizing audiology education
October 01, 2019

Susan Scollie, Director of the National Centre for Audiology, and Rob Koch, MESc (Biomedical Engineering)’18 founder and president of AHead Simulations, with some of the CARL patient simulators being used for research, training and product demonstrations.
Media Release: Cannabis study reveals how CBD offsets the psychiatric side-effects of THC
September 30, 2019

Steven Laviolette, PhD, and his research team including Vanier Scholar Roger Hudson have shown for the first time the molecular mechanisms at work that cause cannabidiol, or CBD, to block the psychiatric side-effects caused by tetrahydrocannabinol (THC), the main psychoactive chemical in cannabis.
Award: Terry Peters, PhD, honoured for outstanding career
September 27, 2019

Congratulations to Terry Peters, PhD, who was awarded the 2019 Gold medal from The Canadian Organization of Medical Physicists (COMP). The Gold Medal is the highest award given by COMP and recognizes a member who has made a significant contribution to the field of medical physics in Canada.
News: Western named one of fastest-rising institutions for scientific research by Nature Index
September 26, 2019

When considering the growth in research output in the 82 high-quality journals tracked by the Nature Index, the journal ranked Western University as Canada’s fastest growing institution and one of the 8 globally.
Media Release: Commonly used drug for Alzheimer’s disease increases risk of hospitalization for muscle breakdown
September 19, 2019

Dr. Amit Garg explains that these findings support vigilance from physicians about the possible risk of rhabdomyolysis in patients who start donepezil. “If someone presents to the hospital with rhabdomyolysis, they should look for donepezil on their medication list as a possible cause.”
Alumni News: Alumnus targets public health via social media
September 17, 2019

As celebrity gossip and jokes long dominated social media in Tanzania, Sajjad Fazel, MPH’18, was convinced social media could be used for social good.
Funding: The real low-down on diabetes
September 16, 2019

Schulich Medicine & Dentistry’s Diabetes Alliance received more than $1 million to lead a global, real-world study on diabetes-related hypoglycemia
Announcement: Lauren Flynn named a member of College of New Scholars
September 11, 2019

Congratulations to Lauren Flynn, PhD, Associate Professor with Anatomy and Cell Biology, who was named a member of the College of New Scholars. Part of the Royal Society of Canada, College membership represents the emerging generation of scholarly, scientific and artistic leadership in Canada.
Researchers named among newest Fellows of the Royal Society of Canada
September 10, 2019

Congratulations to Ravi Menon, PhD (Medical Biophysics), Ann Chambers, PhD (Oncology, Medical Biophysics and Pathology) and Joy MacDermid, PhD (Physical Therapy and Surgery), elected by their peers in recognition of outstanding scholarly and scientific achievement.
In Memoriam: Dr. Howard Cameron
September 09, 2019

It is with sadness that we share the news of the passing of Dr. Howard (Howie) Spencer Cameron, MD’50, an orthopaedic surgeon, faculty member and a member of the Medicine Class of 1950, a unique class of medical students who each served in World War II and came to be known as ‘the Veterans Class.’
Award: Bojana Radan named CMHF Award recipient
September 06, 2019

Bojana Radan, Medicine Class of 2021, is being recognized by the Canadian Medical Hall of Fame as a community leader, advocate and innovator. "This award means a great deal to me since it represents the struggle, resilience and determination it takes to make systemic change in medicine for the better," she said.
Announcement: Dr. Robert Stein has been re-appointed Assistant Dean, Learner Equity & Wellness, Undergraduate
September 06, 2019

Dr. Robert Stein, has been re-appointed as Assistant Dean, Learner Equity & Wellness, Undergraduate, Schulich School of Medicine & Dentistry, Western University, effective October 1, 2019 to September 30, 2020.
Media Release: Diabetes medication shows potential to reduce heart disease
September 04, 2019

A new study from St. Michael's Hospital in collaboration with Western University sheds light on how a class of medications that help regulate blood sugar for patients with Type 2 diabetes can also protect against heart disease.
Announcement: Dr. Christopher Watling appointed Director, Centre for Education Research & Innovation
September 04, 2019

Dr. Christopher Watling, has been appointed Director, Centre for Education Research & Innovation (CERI) at the Schulich School of Medicine & Dentistry, Western University for a five-year term effective January 1, 2020.
News: Changes to medical school admission process puts more focus on experiences and values
August 26, 2019

The incoming Medicine Class of 2023 is the first to have been selected through the initial phase of changes to the medical school admissions process that include an autobiographical sketch and widened MCAT threshold.
Alumni News: Dr. Jen Gunter advocates for women's health with new book and CBC series
August 23, 2019

For years she's been "wielding the lasso of truth" online. Now resident alumna Dr. Jen Gunter, who completed her training in obstetrics and gynaecology at Schulich Medicine & Dentistry, is tackling women's health issues with a new show on CBC Gem.
Announcement: Brad Urquhart has been appointed Associate Dean, Basic Medical Sciences Undergraduate Education
August 23, 2019

Brad Urquhart, PhD, has been appointed as Associate Dean, Basic Medical Sciences Undergraduate Education, Schulich School of Medicine & Dentistry, effective from September 1, 2019 to August 30, 2024.
Award: Taylor Prize winner credited for ‘rescuing abandoned molecule’
August 20, 2019

It is his determination, persistence and passion to improve the health of patients that makes Dr. Daniel Rader the deserving recipient of the 2019 J. Allyn Taylor International Prize in Medicine. Robarts Research Institute at Western University’s Schulich School of Medicine & Dentistry has awarded the Taylor Prize to leading scientists since 1985 to recognize the contributions of outstanding internationally recognized researchers.
Announcement: Dr. Lena Palaniyappan has been appointed as the Endowed Tanna Schulich Chair of Neurosciences & Mental Health
August 14, 2019

Dr. Lena Palaniyappan has been appointed as the Endowed Tanna Schulich Chair of Neurosciences & Mental Health, Schulich School of Medicine & Dentistry, Western University effective July 1, 2019 to June 30, 2024.
In Memoriam: Michael Poulter, PhD
August 14, 2019

It is with great sadness that we share news of the unexpected passing of Michael Poulter, PhD, professor in Physiology and Pharmacology and scientist at Robarts Research Institute. Poulter was a devoted scientist and teacher whose contributions to the School and the research community will be greatly missed.
Media Release: Researchers discover translator gene may play a role in disease
August 13, 2019

When researchers and clinicians investigate the genome’s relation to disease, they have traditionally focused on mutations in the code for proteins. But now researchers at Schulich Medicine & Dentistry have shown that the genes encoding tRNAs can also have mutations that cause the code to be misread, and in greater numbers than previously thought.
Feature: Survey explores nationwide trans, non-binary population
August 08, 2019

Epidemiology and Biostatistics professor Greta Bauer, PhD, expects the nationwide Trans PULSE Canada survey to bridge a massive “deficit of quantitative data across Canada on the health of trans and non-binary people.”
Media Release: Depression is the single largest predictor of substance use during pregnancy
August 08, 2019

Schulich Medicine & Dentistry and Brescia University College researchers Rachel Brown, and Jamie Seabrook, PhD, studied health data from 25,000 pregnant women and have shown that depression is the largest driver of substance use during pregnancy.
Announcement: Dr. Ian Hons appointed as Regional Academic Director for Oxford
July 31, 2019

As the newest Regional Academic Director (RAD) as part of Schulich Medicine’s Distributed Education program, Dr. Hons will help guide the medical education program in Oxford.
Media Release: New research facility allows researchers an unprecedented ability to investigate infectious pathogens
July 31, 2019

The Imaging Pathogens for Knowledge Translation facility (ImPaKT) was officially opened at Western University. The research facility is unique in North America, housing a cutting-edge suite of imaging equipment within a high-level containment environment allowing researchers unprecedented ability to investigate infectious pathogens like HIV, Staph A and Zika Virus.
Announcement: Welcome to Dentistry's newest faculty members
July 26, 2019

Three new faculty members have recently joined Schulich Dentistry. Welcome to Drs. Sharat Pani, Shawn Steele and Liliani Vieira.
Announcement: Dr. Tracey Crumley appointed as Interim Chair/Chief Department of Obstetrics and Gynecology
July 19, 2019

Dr. Tracey Crumley has been appointed as the Interim Chair/Chief, Department of Obstetrics and Gynaecology, Schulich School of Medicine and Dentistry, St. Joseph’s Health Care and London Health Sciences Centre effective July 1, 2019 to June 30, 2020 or until the position is filled.
Media Release: Group calls on international community to prevent dementia by preventing stroke
July 18, 2019

The risk factors for stroke and dementia are the same, and a growing body of evidence demonstrates that preventing stroke can also prevent some dementias. Now, a group of experts led by Western University Professor, Dr. Vladimir Hachinski are calling on the global community to come together to take action on preventing dementia by preventing stroke.
Announcement: Gregory Gloor, PhD, appointed Chair, Department of Biochemistry
July 15, 2019

Gregory Gloor, PhD, has been appointed as Chair, Department of Biochemistry, Schulich School of Medicine & Dentistry, Western University effective from July 1, 2019 to June 30, 2024.
Funding: CIHR funds translational collaborative research
July 12, 2019

Health researchers at Western were awarded more than $8 million in funding from the Canadian Institutes of Health Research (CIHR) in the latest project grant competition. In total, nine research projects were funded at Schulich Medicine & Dentistry ranging from evaluating new ways of looking at spinal cord injury to understanding how neuroimaging can improve diagnostics for Parkinson’s disease.
Announcement: Dr. Davy Cheng, extended appointment as Acting Dean of the Schulich School of Medicine & Dentistry
July 10, 2019

Dr. Davy Cheng has agreed to an extension of his appointment as the Acting Dean of the Schulich School of Medicine & Dentistry, Western University effective from July 1, 2019 to December 31, 2019.
Announcement: Dr. George Kim, re-appointed as Assistant Dean, Rural & Regional Community Engagement
July 10, 2019

Dr. George Kim has been re-appointed as Assistant Dean, Rural & Regional Community Engagement, Schulich School of Medicine & Dentistry, Western University effective from July 1, 2019 to June 30, 2024.
Awards: Bone and Joint Institute researchers celebrated
July 09, 2019

Congratulations to Physiology and Pharmacology Professors Cheryle Seguin, Jeff Dixon and Frank Beier who were honoured by the International Combined Orthopaedic Research Societies (ICORS) at the group’s annual meeting.
Western and Schulich Medicine & Dentistry mourn the loss of a medical student
June 27, 2019

The Western community is mourning the death of Feng (David) Xu, 26, a Schulich School of Medicine & Dentistry student, who died Monday, June 24, in Toronto, after a battle with cancer.
Award: Dr. David Spence named to the Order of Canada
June 27, 2019

Congratulations to Dr. David Spence, BA’65, MD’70, who has been appointed to the Order of Canada along with 83 outstanding individuals from across the country. One of Canada’s highest honours, it recognizes trailblazers who have enriched the lives of others and made a difference to the country.
Research: Scientists look to defuse cardiac 'time bomb'
June 25, 2019

Researchers may have unlocked the mystery of aortic aneurysms. Scientists at Schulich School of Medicine & Dentistry, Robarts Research Institute and Lawson Health Research Institute have shown a recognized process in cancer biology is causing cells to become destructive and eat away at the surrounding muscle tissue, weakening the aortic wall.
Award: Dr. John Denstedt honoured for lifetime achievement
June 24, 2019

Congratulations to Dr. John Denstedt, Professor at Schulich Medicine & Dentistry, who was honoured with the Karl Storz Lifetime Achievement Award from the Endourological Society. Awarded annually, this international award recognizes a senior endourologist whose lifetime contributions have had a major impact in the field.
Feature: Celebrating the Dentistry Class of 2019 with Pari Dabas
June 20, 2019

During the past four years, Pari Dabas, Dentistry Class of 2019, created lasting friendships, enjoyed a whole host of experiences that have helped her grow personally and professionally, enriched the community and student experience of her alma mater and developed the skills she needs to pursue a career as a dentist.
Awards: Dentistry faculty internationally recognized for oral health research
June 19, 2019

Congratulations to Drs. Walter Siqueira and Jeffrey Dixon who received international recognition for their work in Dental Research. Both Drs. Dixon and Siqueira were presented awards as part of the International & American Associations for Dental Research (IADR) General Session and Exhibition in Vancouver on June 19.
Awards: Faculty honoured for Academic Leadership
June 19, 2019

Congratulations to Drs. Jay Rosenfield and Robin Walker who received awards for Academic Leadership from the Pediatric Chairs of Canada (PCC). PCC is dedicated to providing national leadership in paediatric research and education to promote the health and health care of children and youth.
Awards: Physiology and Pharmacology faculty recognized for excellence in research
June 18, 2019

Congratulations to Peter Chidiac, PhD, and Peter Stathopulos, PhD, both honoured by the Canadian Society of Pharmacology and Therapeutics for their exceptional contributions to research in the field of pharmacology.
Announcement: Gregory Dekaban, PhD, appointed Acting Chair, Microbiology & Immunology
June 18, 2019

Gregory Dekaban, PhD, has been appointed as Acting Chair, Department of Microbiology & Immunology, Schulich School of Medicine & Dentistry, Western University effective from July 1, 2019 to June 30, 2020 or until a new Chair is appointed.
Funding: London scientists key players in national dementia strategy
June 17, 2019

Researchers in London have been awarded $1.345 million over five years through the second phase of the Canadian Consortium on Neurodegeneration in Aging (CCNA), announced as part of Canada’s national dementia strategy. CCNA is a collaborative research program tackling the challenge of dementia and other neurodegenerative illnesses.
Announcement: Four new CRCs announced
June 17, 2019

Congratulations to Shehzad Ali, PhD, Corey Baron, PhD, Grace Parraga, PhD, and Marco Prado, PhD, who have been named among Western’s nine new Canada Research Chairs (CRCs). The Canada Research Chairs Program aims to attract and retain some of the world’s most accomplished and promising minds. With this announcement, there are now 1,836 Canada research chairs at universities across Canada.
Feature: Celebrating Convocation with PhD graduate Safee Mian
June 14, 2019

Safee Mian, PhD'19, is applying his basic science training to a career in management consultancy. He says graduate school provides highly transferable skills. "There is a demand for professionals who can analyze data, solve problems, think on their feet and successfully manage projects."
Feature: Celebrating the BMSc Class of 2019 with Megan DeWeerd
June 13, 2019

Megan DeWeerd, BMSc'19, is part of the first cohort of students graduating this June with an Honors Specialization in Biochemistry and Cancer Biology.
Feature: Exploring the current landscape of arts and humanities in medical education
June 06, 2019

Can jazz help a future physician better interact with patients? Can reflective writing improve physician resilience? These are questions that Lorelei Lingard, PhD, co-lead Tracy Moniz, PhD, and an international team of researchers will explore in a scoping review of arts and humanities in medical education for the Association of American Medical Colleges.
Media Release: Researchers examine gender-based differences in physician burnout
June 05, 2019

A crucial step to successfully improve clinician well-being is recognizing how gender-related differences impact physician burnout. Dr. Javeed Sukhera examines why investigating these differences with scientific rigor is critical.
Media Release: Research examines how diet can influence memory-formation
June 04, 2019

A new study shows how the brain controls what information becomes memories and the role diet and obesity play in these formations. Published in the journal Trends in Neuroscience, the study describes the critical importance of perineuronal nets, structures that enmesh certain neurons in the brain, in protecting the neuron and regulating how often the brain turns experiences into memories.
Feature: Discovery sharpens ovarian cancer diagnosis
June 03, 2019

Anatomy & Cell Biology PhD Candidate Dylan Dieters-Castator said newly discovered protein biomarkers could soon help oncologists more accurately differentiate between two types of ovarian cancers, allowing for more precise treatment options.
Announcement: Acting Vice Dean & Director, Dentistry
May 29, 2019

Dr. Bertha Garcia has been appointed as Acting Vice Dean & Director, Dentistry at the Schulich School of Medicine & Dentistry, Western University, effective June 1, 2019 until May 31, 2020 or until a permanent Vice Dean & Director is selected.
Announcement: Indigenous Leader in Residence
May 24, 2019

Schulich Medicine & Dentistry strives to create an environment that is inclusive and culturally safe for all people and is working to specifically address the health of Indigenous peoples and communities. A new position for an Indigenous Leader in Residence (ILIR) has been created at the School.
Awards: Dr. Paul Adams honoured for career-spanning work
May 23, 2019

Congratulations to Dr. Adams who was honoured with the Marcel Simon Award, an international prize for excellence in the research of genetic hemochromatosis, and who has also been selected as the recipient of the 2019 CASL-CLF Visiting Professorship. This award is granted by the Canadian Association for the Study of the Liver and the Canadian Liver Foundation.
Feature: Knee surgery benefits from extra step
May 22, 2019

Dr. Alan Getgood has found that young athletes needing anterior cruciate ligament (ACL) reconstruction surgery may get a leg up by opting for an additional procedure that may drastically reduce the possibility of the injury reoccurring.
Announcement: Jane Rylett appointed Scientific Director of CIHR's Institute of Aging
May 21, 2019

Jane Rylett, PhD, is an internationally recognized neuroscientist and expert in Alzheimer's disease research. As Scientific Director, she will identify research priorities, develop funding opportunities, build partnerships, and translate research evidence into policy and practice to improve the health of Canadians and people around the world.
Feature: Celebrating the Medicine Class of 2019 with Cindos Barakat
May 16, 2019

Reflecting on the past four years, Barakat has a hard time believing it will soon be over. On May 17, Barakat will cross the stage for her graduation and become a member of yet another family – the Schulich Medicine & Dentistry, Western University alumni family.
Announcement: Emerging researchers receive funding to expand horizons and take risks
May 14, 2019

Corey Baron, PhD, Bogumil Karas, PhD, and Dr. Zhan Tao (Peter) Wang have received funding as part of the federal government's New Frontiers in Research Fund. The initiative invests in researchers with five or years less of experience since their first academic appointment.
News: Western backs federal equity efforts
May 13, 2019

Western is endorsing the Dimensions: Equity, Diversity and Inclusion Canada program focused on equitable hiring and promotion opportunities. By backing the Charter of Eight Principles of Inclusion, Western commits to embedding equity, diversity and inclusion principles in its policies, practices, action plans and culture.
Announcement: Second iteration of 2019 CaRMS results
May 13, 2019

The second iteration of the Canadian Resident Matching Service (CaRMS) process was released on April 10, 2019.
Feature: Advantages offered through training in Windsor
May 10, 2019

Dr. Matthew Pfaff, a first-year resident in Family Medicine, values the advantages offered through training in Windsor and the mentorship provided by Dr. Dale Ziter.
Feature: Letting go of the 'aha' moment
May 08, 2019

Matthew Berg, PhD Candidate, is using yeast models to study the mechanisms regulating gene expression. He looks at research as a series of small, important steps. "There's no one result or experiment that makes or breaks my work. It's definitely a journey."
Feature: Project eyes prostate cancer diagnosis
May 06, 2019

Medical Biophysics graduate student TianDuo Wang is working on “the Holy Grail for cancer detection” – a protein detectable in urine that allows doctors to spot the presence and determine the aggressiveness of prostate cancer cells earlier in order to better direct patient treatment.
Feature: A decade of laughter and sharing smiles
May 03, 2019

Sharing Smiles Day, which celebrated its 10th anniversary in 2019, is an informative day where the attitudinal barriers between dental students and persons with special needs are removed and positive relationships fostered.
Award: McCrae Award holds special significance for McAlister
May 02, 2019

As the 2019 recipient of the Canadian Medical Association’s John McCrae Memorial Medal, Dr. Vivian McAlister is especially honoured to be simultaneously recognized and associated with an award that bears the name of the famed physician, solider and poet. “It is a great honour to be chosen for any award, but an award named for John McCrae has special significance to me. He is very special in Canadian history and medical history,” he said.
Awards: Dr. Ken Milne honoured for excellence in academic emergency medicine
May 01, 2019

Congratulations to Dr. Ken Milne who has been honoured with two international awards in recognition of his contribution to academic medicine. He is the recipient of the Judith E. Tintinalli Award for Outstanding Contribution in Education from The American College of Emergency Physicians (ACEP), and has been recognized by the Society for Academic Emergency Medicine (SAEM) with the FOAMed Excellence in Education Award.
Feature: Accessible Medics student group brings security to low-income Londoners
April 30, 2019

"I started Accessible Medics with the mission that no medical services should be forgone due to financial insecurity,” said BMSc student Kevin Zhou. Through Accessible Medics, Zhou and classmates provide free emergency health insurance and community care kits to low-income populations in the city.
Funding: New interdisciplinary research teams supported
April 29, 2019

Six research teams have received funding through the School's Collaborative Research Seed Grants (CRSG) program. Congratulations to the recipients.
Feature: Team to offer insights into Crohn’s treatment tools
April 26, 2019

Along with colleagues at the Cleveland Clinic and Mayo Clinic, Schulich School of Medicine & Dentistry professor Dr. Brian Feagan will co-lead the Stenosis Therapy and Anti-Fibrotic Research (STAR) consortium. This team will develop imaging and patient-reported tools to better understand the effectiveness of new anti-fibrotic therapies for Crohn’s disease.
Media Release: More than half of mothers of children with epilepsy at risk for depression
April 25, 2019

Mothers of children with epilepsy are at risk of having poor mental health and wellbeing, according to a new study by researchers at Lawson Health Research Institute and Western University. The research team is the first to study families of children with epilepsy long-term.
News: Senate approves changes to Internationally Trained Dentists Program
April 17, 2019

On March 15, Western’s Senate approved the School’s ITD Program from the current two-year format to a three-year format beginning in 2020/2021.
Award: Andrew Pruszynski, PhD, recognized as outstanding physiologist
April 17, 2019

Congratulations to Andrew Pruszynski, PhD, who has been awarded the J.A.F. Stevenson award from the Canadian Physiological Society. The award recognizes an outstanding young Canadian physiologist and is named after James A.F. Stevenson, former renowned physiologist from Western University.
Media Release: ICU patients may suffer undetected cognitive dysfunction
April 12, 2019

A new study led by researchers at Schulich Medicine & Dentistry has found that most patients in hospital intensive care units for non-brain-related injuries or ailments also suffer from some level of related cognitive dysfunction that currently goes undetected in most cases.
In Memoriam: Dr. Raj Harricharan
April 10, 2019

It is with great sadness that we share the news of the sudden passing of Dr. Raj Harricharan, Vice Chair and Associate Professor in the Department of Psychiatry at Schulich Medicine & Dentistry. He believed in empowering those who surrounded him including his patients and the many students and residents under his mentorship over the years.
Media Release: 3D Ultrasound gives clinicians a clearer picture to guide treatment for gynaecological cancer
April 09, 2019

By transforming a conventional ultrasound probe, this technology developed at Robarts Research Institute can provide a 360-degree, three-dimensional view of surgical tools and surrounding tissue and organs to provides a more accurate picture in the OR for clinicians who need to precisely insert needles for treatment of gynaecological cancers.
News: Government of Canada supports HockeyFIT expansion across Canada
April 05, 2019

Today, Peter Fragiskatos, Member of Parliament, announced that the Public Health Agency of Canada (PHAC) will be investing up to $2.5 million over three and a half years to help expand Western University’s Hockey Fans in Training (Hockey FIT) program across the country. Hockey FIT is led by Dr. Rob Petrella.
Award: Fred Possmayer recognized for professional achievement
April 05, 2019

Congratulations to Fred Possmayer, PhD'65, recipient of a 2019 Alumni Award of Merit from Western University. During his five-decade career, he pioneered research on Infant Respiratory Distress Syndrome. His lab’s work with bovine lung surfactant was named one of the "Top Five Game-Changing Discoveries in Ontario" by the Council of Ontario Universities.
Award: Lauren Cipriano recognized for advancing health technology assessment
April 04, 2019

Lauren Cipriano, PhD, is being honoured as the 2019 recipient of the Dr. Maurice McGregor Award from Canadian Agency for Drugs and Technologies in Health (CADTH). The award recognizes rising stars in the field of health technology assessment.
Award: Janet Martin recognized for contributions to health technology assessment
April 04, 2019

Congratulations to Janet Martin, PharmD, associate professor in Anesthesia & Perioperative Medicine and Epidemiology and Biostatistics, on receiving an Anniversary Medal from the Canadian Agency for Drugs and Technologies in Health (CADTH).
Feature: Summer experiences inspire a future in research
April 03, 2019

A recipient of two NSERC Undergraduate Student Research Awards, Mihai Dumbrava is building a foundation for a career in health research. Experiences in research labs at home and abroad have shown him the value of scientific training and discovery.
Award: Honouring contributions to sustainability
April 01, 2019

This year’s winners of the Western Green Awards are making strong environmental impacts on campus residences, research facilities and around the world. Congratulations to Robarts Research Institute facilities manager Ron Vander, one of this year's recipients.
Awards: Medical education mentors honoured
April 01, 2019

Congratulations to Lorelei Lingard, PhD, and Sayra Cristancho, PhD, recipients of the 2019 Early Career Medical Educator (ECME) Awards. ECME is a nation-wide community of engaged and collaborative scholars in medical education and aims to grow and support the community of medical and health professions educators in Canada.
Awards: 2019 Awards of Excellence recipients announced
March 29, 2019

As educators, researchers, innovators and leaders, the 2019 Awards of Excellence London and Windsor Campus recipients are making a difference at the Schulich School of Medicine & Dentistry. It is with great pride that we recognize and honour their achievements. Congratulations to this years' recipients.
News: Dr. Victor J. Dzau to receive Honorary Degree
March 27, 2019

An internationally acclaimed leader and scientist, Dr. Victor J. Dzau has made a significant impact through his seminal research in cardiovascular medicine and genetics. He is Chancellor Emeritus and James B. Duke Professor of Medicine at Duke University and will receive an honorary degree at the Schulich Medicine Convocation on May 17.
In Memoriam: Laurence John Fraher, PhD
March 27, 2019

It is with sadness that we share that Professor Emeritus Laurence Fraher, PhD, passed away on March 15, 2019 after a short battle with cancer.
News: Commercialization strategies top competition
March 25, 2019

Trainees took home top prizes at the Proteus Innovation Competition, a four-month contest that takes three newly developed technologies and challenges teams to plan their commercialization. Congratulations to Joshua Dierolf, Tim Han, Christopher Leclerc and Jeffrey Levine.
Research: Using artificial intelligence and brain stimulation to improve treatment for psychosis
March 20, 2019

A new grant from CIHR in collaboration with the EU consortium has provided a total of $2.1 million to establish a network of research centres focused on personalized medicine for mental disorders. In collaboration with five European centres, Dr. Lena Palaniyappan will be collecting brain scans and genetic information from more than 60,000 patients in order to understand the relationship between genetics and brain development.
Honours: Gregor Reid awarded Distinguished University Professorship
March 19, 2019

Three professors are the latest recipients of Distinguished University Professorships (DUP) awards, joining a select group of faculty members recognized for exceptional scholarly careers. Honoured this year are David Sherry , Marilyn Ford-Gilboe and Gregor Reid.
Honours: Three named Faculty Scholars
March 19, 2019

Congratulations to Alison Allan, PhD, Shelley McKellar, PhD, and Dr. David Palma, selected among 11 Faculty Scholars at Western University. Faculty Scholars are recognized for their significant achievements in teaching or research.
Research: Solution sought to 'sticky' staph situation
March 15, 2019

In a recent study published in Nature Communications David Heinrichs, PhD discovered some variants of staph aureus have the potential to cause more severe infections by over-expressing surface proteins that bind to our cells in the bloodstream – they simply ‘stick’ to us better than other variations.
Awards: 2019 PARO Award recipients
March 14, 2019

Congratulations to the 2019 PARO (Professional Association of Residents of Ontario) Award Recipients from Schulich Medicine & Dentistry, Dr. Daniel Grushka, Dr. Bharat Markandey, and Anish Naidu, Medicine Class of 2019.
Western mourns death of Medical Sciences student
March 14, 2019

The Western community is mourning the death of Sara Ali, 21, a fourth-year Bachelor of Medical Sciences student, who died Monday, March 4, in London.
Funding: CFI funding supports innovative translational research
March 13, 2019

Today Kirsty Duncan, MP announced longer-term stable funding for equipment for innovative research across Canada through the Canada Foundation for Innovation (CFI). As part of the announcement she acknowledged the successful JELF grant recipients from Western including Grace Parraga, PhD, and Rithwik Ramachandran, PhD.
News: Partnership with Canon Medical aligns area imaging expertise
March 13, 2019

A new multi-million dollar partnership in local medical imaging technology will bring state-of-the art research equipment to Robarts Research Institute and allow research findings to be brought to patient bedsides more rapidly and readily than ever before.
Awards: Western celebrates top teaching talent
March 12, 2019

Congratulations to Schulich Medicine & Dentistry faculty members who were awarded Western’s highest honours for inspiring active and deep learning in their students: Michele Barbeau, Angela Beye, Nicole Campbell, Charys Martin, Sarah McLean, Tom Stavraky and Anita Woods.
Balance For Better: International Women’s Day
March 08, 2019

Balance is not a women's issue, it's a business issue. On International Women’s Day, we support the #BalanceforBetter campaign to build a gender-balanced world – in boardrooms, government, clinical environments, academic spaces, media coverage... As part of this year’s initiative, we asked women at Schulich Medicine & Dentistry what #BalanceforBetter means to them.
Trainees to showcase research communication skills at Western’s 3MT final
March 07, 2019

Congratulations to the two trainees at Schulich Medicine & Dentistry who placed as Top 20 finalists for Western University's campus-wide Three Minute Thesis (3MT) competition – Olivia Sehl and Spencer Yeung.
In memoriam: Dr. Gordon Vail
March 07, 2019

It is with great sadness that we share the news of Dr. Gordon Vail’s passing on March 3, 2019 after a two year fight with cancer. Dr. Vail was an Emergency Department Physician and an adjunct professor at Schulich Medicine & Dentistry – Windsor Campus, a position he held since 2003.
Award: Frank Beier honoured for excellence in osteoarthritis research
March 06, 2019

Congratulations to Frank Beier, PhD, who is being honoured with an Award for Basic Science Research from the Osteoarthritis Research Society International (OARSI). The award recognizes Beier’s pioneering work in applying genomics techniques to osteoarthritis models.
CaRMS Match results
February 28, 2019

On February 26, medical students from across Canada learned their residency match results as the first iteration of the Canadian Resident Matching Service (CaRMS) process became available.
Award: Dr. Les Kalman honoured as a Fellow of Academy of Osseointegration
February 27, 2019

Congratulations to Dr. Les Kalman, who along with three others from across North America, will be honoured for achieving Fellowship status in the Academy of Osseointegration during the Opening Symposium at its 2019 Annual Meeting.
Award: Faculty Support for Research in Education grant recipients announced
February 26, 2019

Faculty Support for Research in Education (FSRE) grants facilitate and enable scholarship in education at Schulich Medicine & Dentistry. Two new awards focus on the effects of implementing competency-based medical education and understanding Indigenous learners’ experiences.
Media Release: Tobacco plants transformed into ‘green bioreactors’ to benefit human health
February 26, 2019

Schulich School of Medicine & Dentistry professor Dr. Tony Jevnikar and Biology professor Shengwu Ma have discovered that tobacco plants can be used to produce large quantitates of Interleukin 37 – or IL-37 – a naturally occurring protein in the human kidney.
Announcement: Interim Chair/Chief, Physical Medicine & Rehabilitation
February 26, 2019

Dr. Robert Teasell and Dr. Keith Sequeira have been appointed Interim Co-Chair/Chiefs of the Department of Physical Medicine & Rehabilitation, Schulich School of Medicine & Dentistry, Western University and its teaching hospitals, London Health Sciences Centre and St. Joseph's Health Care London, effective February 1, 2019 to June 30, 2019 or until the incumbent Chair/Chief returns from leave.
In memoriam: Dr. Gérard Guiraudon
February 19, 2019

It is with great sadness that we share news of the passing of Dr. Gérard Marcel Guiraudon on February 14, 2019. Dr. Guiraudon pioneered surgical procedures at London Health Sciences Centre and engaged in groundbreaking research focused on cardiac electrophysiology at Western University and Robarts Research Institute.
Media Release: London’s vulnerable populations live near primary care, but language remains a challenge
February 13, 2019

Led by Western professor Jason Gilliland, a team of researchers looked at accessibility to a primary-care provider – either a family doctor or nurse practitioner – based on distribution and geographical proximity in London.
February 13: Western returns to a regular schedule
February 12, 2019

Western will be open and operating on a regular schedule on Wednesday, February 13.
Media Release: Spinal cord 'smarter' than previously thought
February 11, 2019

Using specialized robotic technology, Andrew Pruszynski, PhD, and Jeff Weiler, PhD, demonstrated that the spinal cord is able to process and control complex functions, like the positioning of your hand in external space.
Award: Dr. Bertha Garcia honoured as YMCA Woman of Excellence
February 05, 2019

In recognition of her contributions to science, medicine and education, Dr. Garcia is being honoured with a 2019 YMCA Women of Excellence Award. Her impact as a medical educator, clinical leader and mentor has been profound. In a culture with few female leaders, she stands as a role model who values all voices and perspectives.
Award: Recognizing the talent and contributions of women in Southwestern Ontario
February 05, 2019

The annual YMCA Women of Excellence Class of 2019 includes four Western-connected honourees, including Dr. Bertha Garcia and Serena Tejpar, BMSc'18.
Unique oncology internship uses mentorship and research to train and raise awareness
February 04, 2019

The Oncology Research Internship (ORIoN) initiative in the Department of Oncology pairs resident mentors with medical students, providing an introduction to research and case reports. "We believe it addresses an underserved need within the medical school curriculum, and is a valuable exercise for residents whose future careers often require supervision and training," says Dr. Chris Goodman.
Media Release: VIRTUES - cutting-edge technology ushers in a bold new era of arrhythmia care
February 04, 2019

CANet, hosted at Schulich Medicine & Dentistry, is currently focusing on solutions – advanced analytics, artificial intelligence, machine learning, and blockchain technology – towards one simple strategic goal – significantly improve the efficiency, effectiveness, and accessibility of arrhythmia care delivery in Canada.
Announcement: Dr. Stewart Harris reappointed as the Canadian Diabetes Association Chair in Diabetes Management
January 31, 2019

Dr. Stewart Harris has been reappointed to his third term as the Canadian Diabetes Association Chair in Diabetes Management at the Schulich School of Medicine & Dentistry, Western University effective January 1, 2019 to December 31, 2023.
Let's Talk: Resident mental health and wellness
January 30, 2019

A recent survey by the Canadian Medical Association found that a significant number of resident doctors are suffering from burnout and depression. Dr. Caroline Just, PGY5 Neurology, says these experiences need to be supported with empathy from peers and colleagues. She shares more about the increasing incidence of mental health issues, the culture of medicine and how residents can support one another.
Let's Talk: The Western Perspective Project initiates a campus conversation about failure
January 30, 2019

The Western Perspective Project was designed with a goal of helping to normalize failure in academic and non-academic settings. "We are so proud of the impact this campaign has had and we hope it continues to make students understand that failure is a normal part of life and that everyone has experienced it," says Montana Hackett, one of the Project's student organizers.
Funding: CIHR grants support important projects from Indigenous health to cancer immunotherapy
January 25, 2019

Health researchers in London were awarded more than $10 million in funding from the Canadian Institutes of Health Research, with $7.3 million supporting projects through Schulich Medicine & Dentistry and $2.8 million through Lawson Health Research Institute.
Dr. Francisco Olea-Popelka appointed as the Beryl Ivey Endowed Chair in One Health
January 11, 2019

Dr. Francisco Olea-Popelka has been appointed as the Beryl Ivey Endowed Chair in One Health, Schulich School of Medicine & Dentistry, Western University effective Jan 2, 2019 – Jan 1, 2024.
Award: Professor Emeritus Dr. Ross Feldman named to the Order of Canada
January 10, 2019

Dr. Ross Feldman was one of 103 Canadians awarded one of the nation's highest honours recognizing those "whose service shapes our society; whose innovations ignite our imaginations; and whose compassion unites our communities."
Media Release: Women with complications after pelvic mesh implants at increased risk of depression and suicide
January 09, 2019

Women who require more surgery for complications after a mesh-based sling procedure have an increased risk of depression and self-harm behaviour, according to a new study led by Dr. Blayne Welk from Schulich Medicine & Dentistry, Lawson Health Research Institute, and ICES.
