November 2019 Newsletter

Western captures second place in Resident Simulation Showcase at Family Medicine Forum
Family Medicine residents from the Schulich School of Medicine & Dentistry at Western University competed in the Resident Simulation Showcase at Family Medicine Forum (FMF). Six teams of four family medicine residents from separate Canadian university residency programs performed a high fidelity patient simulation assessment and treatment of a computerized patient mannequin. Congratulations to our Western team on placing second in the competition for the second consecutive year.
Chair's Message
As I write this chair’s message, our Postgraduate residency training program is undergoing an accreditation visit from the College of Family Physicians of Canada (CFPC). The accreditation process is a quality improvement exercise based on the standards for residency training as set by the Royal College for the specialty training programs and the CFPC. This process now extends to the institution, specifically the Postgraduate Education Office, so it is a significant process for the whole medical school at this time. I particularly want to commend our Postgraduate program leaders, site directors, teachers and staff for their preparation and commitment to the accreditation exercise.
Postgraduate Program Report
The Postgraduate Program is in the middle of an Accreditation Visit taking place from November 24 to November 29, 2019. We thank all of those involved in planning for the visit as well as those that will be meeting with the accreditation team members. This is a tremendous team effort and we couldn't do it without your support. CaRMS recruitment is rapidly approaching. Mark your calendars with these important interview dates: CaRMS IMG interviews on January 17, 2020; CaRMS CMG interview weekend on January 18 and 19, 2020.
Graduate Program Report
Dr. Judith Brown attended FMF in Vancouver and NAPCRG in Toronto where she had an opportunity to recruit for the MClSc and PhD programs. We extend our Congratulations to the Graduate Program MClSc Student / Alumni FMF Award Winners that were celebrated at FMF 2019. Learn More.
Celebrating our achievements
Congratulations Dr. Kyra Harris-Schulz on receiving the 2019 T2R Star Award for Top New Faculty Presenter for her session, The Dying Patient. "Dr. Harris-Schulz section was fantastic. The case was eye-opening and provided a good perspective on how we should view palliative care and the death of our patients. Furthermore, she highlighted examples of substandard care when it comes to recognizing and managing the dying patient."
Announcement: Dr. Sonja Reichert has been appointed as the Endowed Dr. Brian W. Gilbert Canada Research Chair
Dr. Sonja Reichert, has been appointed as the Endowed Dr. Brian W. Gilbert Canada Research Chair, effective July 1, 2019 to June 30, 2024.
Yashoda Valliere awarded College of Family Physicians of Canada Medical Student Scholarship
Yashoda Valliere, a medical student at Schulich Medicine & Dentistry, was awarded one of the College of Family Physicians of Canada Medical Student Scholarships at the recent Family Medicine Forum in Vancouver, BC. A total of 17 scholarships are awarded, one for each Canadian medical school, to outstanding medical students with an interest in family medicine.
In the news: London doctor reflects on 50 years of family medicine
Fifty years ago Dr. Wayne Weston, professor emeritus, was part of a pioneering group of 12 family doctors who successfully completed the first-ever certification in family medicine in Canada, earning the credentials needed to practice as family doctors from the College of Family Physicians of Canada. That class was honoured last weekend at a gathering during the Family Medicine Forum in Vancouver. Via The London Free Press.
Community-driven project improves patient outcomes for diabetes in Indigenous communities
In total, nine Indigenous communities from coast to coast completed the FORGE AHEAD program, each with their own set of goals and interventions. At the program level, the researchers saw significant improvements in important clinical indicators for diabetes, including blood glucose control, blood pressure and LDL cholesterol for high risk patients.
Dr. Mario Elia awarded a Physicians’ Services Incorporated (PSI) Foundation grant for Healthcare Research by Community Physicians
Dr. Mario Elia, adjunct professor in the Department of Family Medicine, was recently awarded a Physicians’ Services Incorporated (PSI) Foundation grant for Healthcare Research by Community Physicians for his research project, Feasibility Pilot Evaluation of Prescription to Get Active.
Innovation in Education
The annual Obstetrical Skills Workshop for PGY1 residents was held on November 6. Residents learned how to perform many key obstetrical procedures including artificial rupture of membranes, performing a vaginal delivery, perineum repairs and knot-tying to name a few. The day was a tremendous success, and we would like to extend a big thank you to all of those involved in the planning of and teaching at this cutting edge simulation-based workshop.
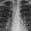
Case report describes new type of vaping lung injury
A team of authors including Schulich Medicine & Dentistry faculty members have released details on Canada’s first published case of suspected vaping-related lung injury. Published today in CMAJ, the case study may be the first to describe a new type of injury from vaping products.
NAPCRG 2019
The North American Primary Care Research Group (NAPCRG) 47 Annual Meeting was held this year in Toronto, Ontario from November 16 to 20, 2019 at the Westin Harbour Castle Hotel. Members of the Centre for Studies in Family Medicine and Department of Family Medicine attended and made numerous oral presentations and poster presentations during the conference.
Interdisciplinary Primary Health Care Research Training Program Now Accepting Applications
TUTOR-PHC or Transdisciplinary Understanding and Training on Research – Primary Health Care, is a one-year, pan-Canadian interdisciplinary research capacity building program that has been training primary and integrated health care researchers and decision-makers from family medicine, nursing, psychology, epidemiology, social work, occupational therapy, education, policy and other disciplines since 2003. Deadline to apply is December 2, 2019.
United Way Fundraising Event - One Chip Challenge
Join us for a United Way fundraising event on Tuesday, December 3 at 1:00 p.m. in Room 1120, WCPHFM. Watch Harsh Zaran go head-to-head with a tortilla chip. The chip is made from the hottest pepper in the world – the Carolina Reaper – and has been known to take even the strongest of us down. Minimum two dollar donation to attend. Snacks will be available for purchase. All proceeds to United Way.
Annual Family Medicine Mix & Mingle
The Family Medicine Interest Group (FMIG) is hosting a Mix and Mingle on Wednesday, December 4 and we are looking for Family Physicians to participate (residents and staff). The event will take place at the Western Centre for Public Health and Family Medicine and include dinner at 6:30 p.m. followed by "Speed Dating" from 7:00 - 8:30 p.m. The Speed Dating involves speaking to a group of 2-3 pre-clerkship students for 8 minute intervals about topics such as why you choose family medicine, what your practice is like, and any questions they may have. If you are interested in attending, please email the FMIG exec via Julia Petta.