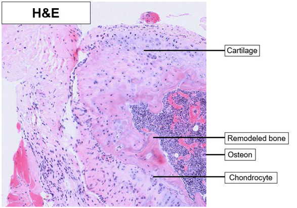
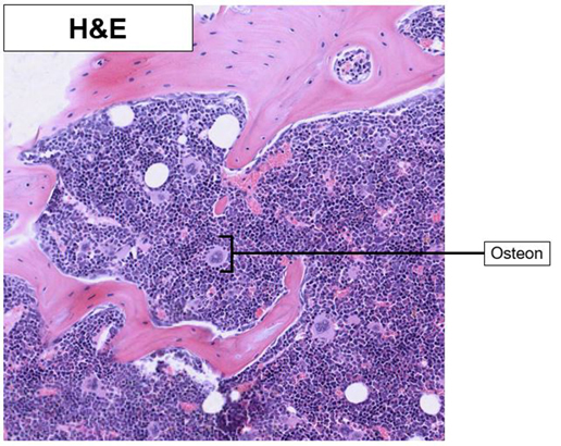
Tibia
Epiphysis
![]() |
![]() |
|
| Tibia_Epiphysis_H&E_02.svs Tibia_Epiphysis_H&E_02.png |
Tibia_Epiphysis_Pen_02.svs Tibia_Epiphysis_Pen_02.png |
The blue colour in the pentachrome stain kit represents mucin and indicates the progression of bone remodelling. The pentachrome stain kit helps to visualize the bone material before ossification. Chondroids and the matrix are also well differentiated and visualized. Further, striations of the muscles, bone, and cartilage are well visualized with the pentachrome stain kit.
Previous Attempts
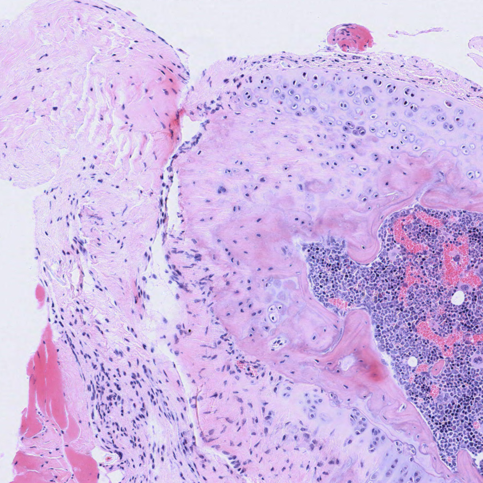
Diaphysis
![]() |
![]() |
|
| Tibia_Diaphysis_H&E_01.svs Tibia_Diaphysis_H&E_01.tif |
Tibia_Diaphysis_Pen_01.svs Tibia_Diaphysis_Pen_01.tif |
Epiphysis
![]() |
![]() |
|
| Tibia_Epiphysis_H&E_01.svs Tibia_Epiphysis_H&E_01.tif |
Tibia_Epiphysis_Pen_01.svs Tibia_Epiphysis_Pen_01.tif |
The blue colour in the pentachrome stain kit represents mucin and indicates the progression of bone remodelling. The pentachrome stain kit helps to visualize the bone material before ossification. Chondroids and the matrix are also well differentiated and visualized. Further, striations of the muscles, bone, and cartilage are well visualized with the pentachrome stain kit. The pentachrome stain kit’s colours are helpful, but the overall stain is not as crisp compared with the H&E stain.





