December 2019 Newsletter

Medicine Class of 1949 reflects on 70 years of memories and advancements
2019 marks the 70th anniversary of the Medicine Class of 1949. Two alumni, Drs. William Goldberg and R. Clayton Smith, attended Homecoming this year, stirring up memories of how Schulich Medicine & Dentistry impacted their lives.
The power of storytelling
Bruce Seet, PhD’02, believes in the power of storytelling. It’s how and why he created the Science To Business Network, which helps graduate trainees learn from the stories of others, as well as create their own.
You have a concussion – now what?
Dr. Lisa Fischer debunks concussion myths and outlines best practices, policies and guidelines around concussion care. Watch the first video in the School’s new series, Brainstorm: Straight Talk on Concussion.
Advocating for a fertility-friendly future
Named to Canada’s Top 40 under 40 for 2019, Fertility Specialist Dr. Caitlin Dunne, MD’08, was recognized for her advocacy and passion for women’s health.
Return journey
Sarah Mattonen, PhD’16, is a new faculty member at Schulich Medicine & Dentistry. The cancer imaging scientist is working with the same interdisciplinary research group that she trained with as a graduate student.
Stories of service
Faculty and learners have used their medical and dental training to support the Canadian military for generations – serving their country in times of war, conflict and peace. The School recently profiled their contributions in a special online series.
How do you measure a year?
Dr. Davy Cheng, Acting Dean, shares the accomplishments and challenges that made the past 365 days rewarding and pride-filled.
Delivering an extraordinary experience
Dr. Bertha Garcia, Dentistry’s Vice Dean & Director, shares how the teams in Dentistry are working together to deliver on strategic plan goals and enrich the learning and care experience.
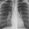
Advocacy, awards and new facilities
Faculty members shed light on Canada’s first vaping-related lung injury, the Office of Military Academic Medicine opens, leadership changes and more. Find out what has been happening at the School and University during the past few months.
Nominations are open for 2020
Nominate a former classmate, colleague or friend who has made an outstanding contribution to the School, the community or their profession through the Alumni of Distinction Awards. Presentation of the awards will be made during the 2020 Homecoming Weekend.
The rivalry continues
Join Jona Szakacs, Theodora Imbrogno, Coach Ken Wright and the entire Mighty Dents hockey team when they take on the University of Toronto for the 13th annual ODA President’s Cup on April 4. And save the date for alumni receptions taking place this spring.- Alumni Announcements
Announcements and updates from our alumni community.