New study reveals potential biological link between cannabis use and psychosis
By Cynthia Fazio
Although it's been six years since cannabis was legalized in Canada, further research is needed to fully understand its health effects.
A new study published in JAMA Psychiatry sheds light on how cannabis use disorder is linked to changes in the brain that are associated with psychosis.
Using brain imaging techniques, researchers found individuals with cannabis use disorder, those who were using cannabis on a frequent basis over an extended period of time, exhibited signs of higher levels of dopamine in the same region of the brain that is tied to psychosis. The study was conducted in London, Ont., led by researchers from Schulich Medicine & Dentistry and London Health Sciences Centre Research Institute (LHSCRI).
Previous data has shown that in emergency departments across Canada, people have been presenting more often with psychosis after the legalization of cannabis.
“We now have evidence that shows a straight line linking cannabis with dopamine and psychosis that has never been shown before, and it's crucial that clinicians, patients, and families work together to break this line,” said Dr. Lena Palaniyappan, adjunct professor, former medical director for LHSC's Prevention and Early Intervention Program for Psychosis (PEPP) and the senior author of the study.
Dopamine is an important neurotransmitter (a chemical messenger in the brain) that helps process motivation, mood, learning and motor control.
“Excess levels of dopamine can disrupt normal brain processes and may increase the risk of psychosis, particularly in individuals who are already vulnerable,” said Betsy Schaefer, co-author of the study at LHSCRI and study coordinator at PEPP.
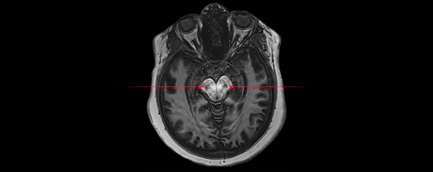
Using a non-invasive brain imaging technique called neuromelanin-sensitive magnetic resonance imaging, researchers were able to look at a substance called neuromelanin – a black pigment left behind in the brain that accumulates over time if there is too much dopamine. The neuromelanin appears in the scans as black spots, acting as a marker to measure and identify areas with dopamine activity.
“In people partaking in excess cannabis use, those spots are blacker than what they should be for their age compared to healthy individuals. This indicates they have high levels of dopamine, and in some cases are showing pigments someone 10 years older would have,” said Palaniyappan, who is also a professor at McGill University.
Sixty-one participants, aged 18- to 35-years-old, were involved in this study. Researchers recruited individuals with and without cannabis use disorder, with some in each group also diagnosed with first-episode schizophrenia, who presented to PEPP at LHSC.
"We saw an increase of blacker spots in a particular region of the midbrain associated with psychosis – the substantia nigra and ventral tegmental areas. This increase was seen in those with cannabis use disorder regardless of whether they have first-episode schizophrenia,” said Ali Khan, PhD, associate professor in the Department of Medical Biophysics and scientist at Robarts Research Institute.
“I think this research really helps to provide evidence, or the smoking gun, of what we're seeing clinically and provides clues as to why exposure to cannabis is causing brain changes linked to psychosis,” said Dr. Julie Richard, psychiatrist and physician lead of PEPP.
“In the last several years since legalization, we're seeing adolescents who have two or three brief cannabis-induced episodes of psychosis and then have a much more major episode. So, we're trying to counsel adolescents within that first episode that they're pushing their brain towards a major episode and show them the areas in the brain that are impacted,” said Richard.
Shaefer explained the new research helps clarify the biological mechanisms connecting cannabis use and mental health risks. The findings underscore the need for awareness, especially as cannabis becomes more widely used since legalization. "We hope this study encourages further research and informs public health policies to support safe and informed cannabis use."
“I hope these findings lead patients and health-care providers to better understand the implications, and for health-care providers to give patients resources for options other than cannabis to help them cope,” said first author Jessica Ahrens, PhD candidate at McGill University.
