Impact

The Science of Cancer

One year. Many discoveries.

Cancer is on the rise. Science is responding. Researchers at Schulich Medicine & Dentistry are driving advances in cancer prevention, treatment and care – pushing the field forward at this critical moment. These snapshots offer a small window into a year of cancer discovery and progress.


Read More

Where Breakthroughs Begin

Bioconvergence Centre marks a bold renewal of Schulich Medicine & Dentistry’s MD program – and a once-in-a-generation leap for health innovation at Western University.


Read More

The Humble Art of Listening Well

A new training session invites future doctors to move beyond the checklist and embrace uncertainty, centring patients as experts in their own care.


Read More

Drilling Down on Sustainability 

At Schulich Dentistry, faculty, staff and learners are putting sustainability at the centre of daily practice.


Read More

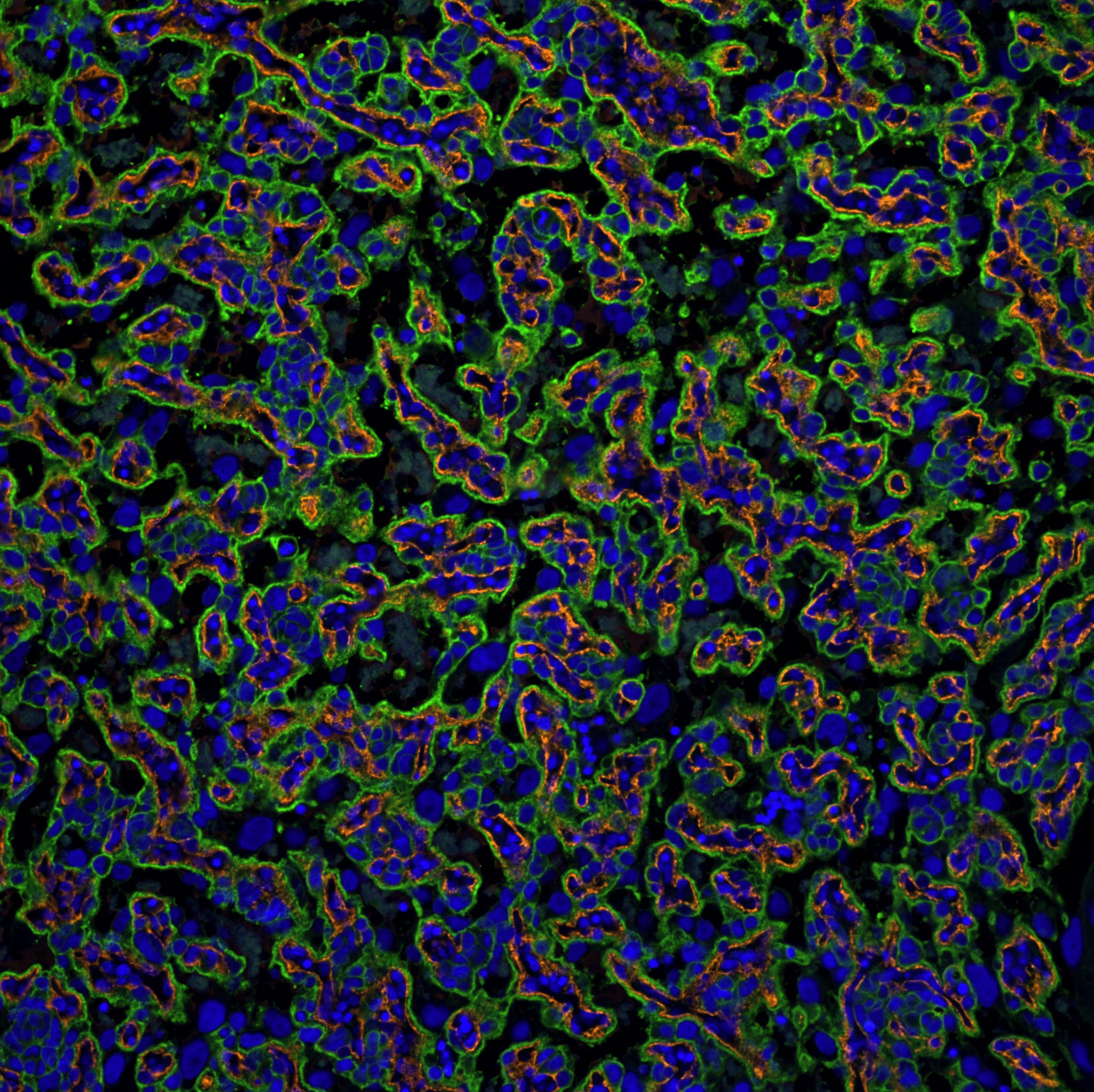
The Art of Science

Discover science through a new lens. These striking images blend discovery with creativity, capturing the unexpected beauty behind groundbreaking research.


Read More