Robarts Discovery

Daring to Ask: How Do We Learn Complex Motor Skills?

Specialized robotics is shedding light on how the brain learns new motor skills.


Vaping Contrast

Imaging technology is showing the dire consequences of vaping on lungs.


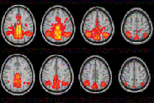
Pieces of the Puzzle

For every question that concussion research answers, it raises a dozen more. Researchers are drawing upon their unique areas of expertise to illuminate the ways that concussions impact the brain and explore potential solutions.